
Trẻ rất hiếu động và thích thú khi đùa nghịch vui chơi mà không nghĩ đến hậu quả nghiêm trọng của việc này. Do vậy trẻ thường xuyên bị té ngã và có nhiều mức độ nguy hiểm khác nhau. Trẻ bị ngã đứt dây chằng môi trên có nguy hiểm hay không? Bố mẹ cần có những biện pháp xử lý như thế nào? Hãy cùng Monkey tìm hiểu nguyên nhân, biện pháp xử lý và cách phòng ngừa các tai nạn té ngã ở trẻ.
Nguyên nhân khiến trẻ bị ngã đứt dây chằng môi trên
Nguyên nhân khiến trẻ bị ngã đứt dây chằng môi trên chủ yếu là do sự bất cẩn trong khi trông coi của trẻ. Người lớn thường có những phút giây lơ là, không trông coi trẻ đúng cách để trẻ vui chơi một mình trên giường, trên võng cao hoặc vị trí trên cao. Nhiều trường hợp bố mẹ có thể bế bé đi chơi, đi dạo hoặc bế trẻ lên và chơi đùa cùng trẻ. Bố mẹ hoặc người lớn có thể sơ ý làm tuột tay rơi xuống và ngã gây thương tích.
Bố mẹ chủ quan cho bé dưới 10 tuổi trông coi trẻ dưới 3 tuổi. Trẻ dưới 10 tuổi còn rất ham chơi và hiếu động vì vậy trẻ thường bỏ em nhỏ chơi một mình và bé bị ngã đứt dây chằng môi trên. Hoặc có thể trẻ chơi cùng em và trong lúc đùa nghịch trẻ vô tình bị xô ngã.
Trẻ bị ngã cũng có thể do nguyên nhân trẻ nghịch ngợm và thích đùa nghịch. Trẻ có thể leo lên bàn, ghế hoặc các đồ vật kê không vững. Trẻ chạy nhảy đùa nghịch ở những nơi trơn trượt như nhà tắm, sàn nhà vừa mới lau, sân chơi đổ mưa,… và bị ngã đập môi.
Trẻ khi đi học ở trường mẫu giáo, trường tiểu học và gặp bạn bè nô đùa với nhau, xô đẩy nhau ngã. Những trò chơi thể thao như bóng đá, kéo co,… cũng có thể khiến trẻ bị ngã và có thể gây thương tích.

Trẻ bị đứt dây chằng môi trên có nguy hiểm không?
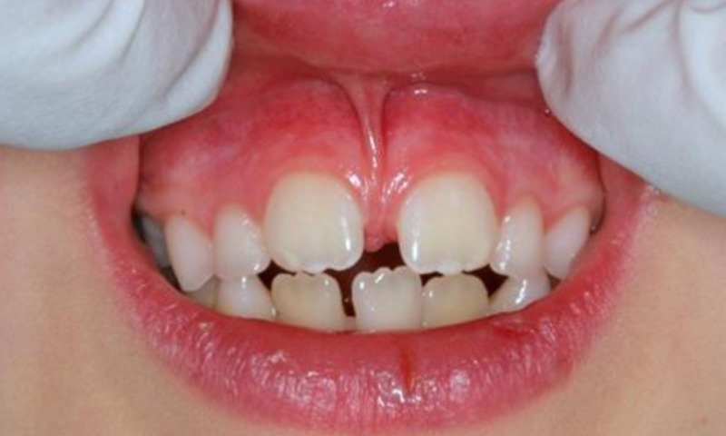
Trẻ bị ngã thường có nguy cơ bị đứt dây chằng môi vì trẻ va chạm môi với bề mặt đù cứng và đủ sắc nhọn. Dây chằng môi hoặc còn được gọi là phanh môi là một dải dây chằng và niêm mạc miệng chạy từ trong điểm giữa môi trên tương ứng với nhân trung ở phía ngoài đến mặt ngoài của bờ lợi hàm tương ứng với khe giữa chân răng của 2 răng cửa. Khi bị té với lực va chạm mạnh thì khả năng đứt dây chằng trên rất cao.
Việc đứt dây chằng môi trên ở trẻ không quá nguy hiểm đến sức khoẻ của bé. Tuy nhiên nếu dây chằng bị đứt quá sâu, nó có thể ảnh hưởng đến hàm trên của bé. Đặc biệt việc dây chằng hàm trên đứt rời sẽ gây ảnh hưởng đến độ thẩm mỹ của hàm răng sau này. Chúng còn ảnh hưởng đến việc hàm răng bị lệch và ảnh hưởng đến khớp cắn, sự nhai của bé sau này.

Cách xử lý khi trẻ bị ngã đứt dây chằng môi trên
Mức độ nguy hiểm khi trẻ bị ngã đứt dây chằng môi trên nhưng bố mẹ cần có những biện pháp xử lý kịp thời để tránh để lại những biến chứng sau này cho trẻ. Dưới đây là những biện pháp xử lý khi trẻ bị ngã đứt dây chằng môi trên:
Cầm máu cho trẻ
Tuỳ vào mức độ khi trẻ bị đứt dây chằng môi mà có những biện pháp sơ cứu ban đầu khác nhau. Nếu bé bị đứt dây chằng chảy máu bố mẹ không nên hoảng hốt và làm bé khóc lớn lên. Như vậy mẹ sẽ khó thực hiện các biện pháp sơ cứu cho trẻ. Mẹ hãy giữ bình tĩnh và trấn an trẻ sau đó thực hiện các bước cầm máu như sau:
-
Người cầm máu cần tuân thủ các biện pháp vệ sinh tay sạch sẽ, có thể khử trùng để thực hiện. Như vậy có thể đảm bảo quá trình cầm máu an toàn, tránh vết thương bị nhiễm trùng trong quá trình cầm máu.
-
Tiếp theo, mẹ sử dụng một miếng gạc hoặc băng y tế nhỏ, khô và sạch đặt lên vết thương bị chảy máu. Sau đó cho bé ngậm chặt môi trên với hàm lợi lại để giữ chặt vết thương trong vòng vài phút. Thông thường, bé chỉ cần giữ khoảng 5 – 10 phút là đã có thể cầm máu vết thương.
-
Sau đó để tránh việc chảy máu lại do trẻ khó chịu và làm chảy máu, mẹ có thể sử dụng một chút đá lạnh hay nước lạnh để giảm đi cơn đau. Đồng thời cách này cũng có hiệu quả trong quá trình chườm đá. Chườm đá giúp thúc đẩy quá trình hình thành cục máu đông một cách nhanh chóng hơn bình thường. Bố mẹ cũng nên chú ý khi cho trẻ ngậm đá vì có thể khiến bé bị đau họng hoặc bỏng lạnh.

Trẻ bị đứt dây chằng môi trên có cần phẫu thuật hay không?
Việc phẫu thuật khâu lại dây chằng môi trên với lợi hay không tuỳ thuộc vào mức độ nghiêm trọng của tổn thương. Nếu vết thương bị đứt dây chằng môi trên của trẻ khá nghiêm trọng thì bố mẹ nên đưa trẻ đi viện để được chẩn đoán và thực hiện phẫu thuật nối dây chằng kịp thời.
Đa phần chúng ta không cần đưa trẻ đi phẫu thuật đứt dây chằng vì chúng không ảnh hưởng gì nhiều đến sức khỏe của trẻ. Nếu bé bị đứt ít mẹ có thể giữ vệ sinh sạch sẽ, phanh môi sẽ tự động liền lại mà không cần sự can thiệp của thẩm mỹ. Tuy vậy, mẹ cũng cần theo dõi xem mức độ bị thương của bé để có quyết định nên đi khám và phẫu thuật nối dây chằng môi.
Nếu bố mẹ lo sợ trẻ bị ngã đứt dây chằng môi trên bố mẹ có thể đưa trẻ đến bệnh viện để được kiểm tra chi tiết. Như vậy có thể giúp trẻ tránh những di chứng, biến chứng ảnh hưởng sau này ở miệng bé.

Trả lời câu hỏi thường gặp
Rất nhiều phụ huynh thắc mắc khi trẻ bị ngã đứt dây chằng môi trên. Dưới đây Monkey sẽ giải đáp cho phụ huynh về những câu hỏi thường gặp khi trẻ bị ngã đứt dây chằng môi trên:
Trẻ bị đứt dây chằng môi bao lâu thì khỏi
Khi trẻ bị ngã đứt dây chằng môi trên, phụ thuộc vào mức độ trẻ bị đứt mà thời gian bị lành lại khác nhau. Đa số trường hợp mặc dù đứt dây chằng môi trên không bị ảnh hưởng đến sức khoẻ của bé.
Trường hợp trẻ bị đứt một ít dây chằng môi trên thì dây chằng có thể tự động lành lại khoảng 1 – 2 tháng sau đó. Nếu chúng bị chảy máu thì mẹ sử dụng các biện pháp cầm máu phù hợp thì chúng sẽ tự lành lại mà không cần phẫu thuật nối lại.
Nhưng nếu bé bị rách khá sâu thì có thể dây chằng môi trên có thể không liền lại như ban đầu mà nó chỉ lành lại khi đã được cầm máu đúng cách. Thời gian bé lành lại hoàn toàn thì bố mẹ có thể đưa trẻ đến bệnh viện để được chẩn đoán tình trạng và tư vấn chăm sóc trẻ giúp trẻ phục hồi nhanh hơn.

Trẻ bị đứt dây chằng môi trên có ảnh hưởng đến giọng nói hay không?
Dây chằng môi trên là dải dây chằng có tác dụng giữ môi trên khít bờ miệng, tạo nụ cười duyên. Do vậy, trẻ bị ngã đứt dây chằng môi trên không ảnh hưởng đến giọng nói của bé.
Giọng nói là do âm thanh mà không khí tạo ra khi nó bị đẩy ra khỏi phổi và đi qua dây thanh quản. Dây thanh quản là 2 nếp gấp của mô bên trong thanh quản, nhờ sự rung động của 2 nếp gấp này mà tạo ra âm thanh để chúng ta có thể nói chuyện. Do vậy dây chằng môi trên nằm ở bên ngoài không ảnh hưởng đến giọng nói của bé.
Chăm sóc trẻ bị đứt dây chằng môi trên tại nhà như thế nào?
Sau khi trẻ bị ngã đứt dây chằng môi trên, mẹ nên chăm sóc trẻ kỹ lưỡng giúp quá trình trẻ phục hồi nhanh hơn. Cụ thể:
-
Súc miệng nước muối đúng cách: Nước muối có tác dụng kiềm hoá, giúp tăng độ pH trong miệng giúp ngăn ngừa sự tăng sinh của vi khuẩn có hại. Khi bị đứt dây chằng, có thể xuất hiện tình trạng chảy máu lợi, súc miệng bằng nước muối giúp sát trùng vết thương hiệu quả.
-
Chế độ nghỉ ngơi: Trẻ thường có xu hướng mệt mỏi sau khi bị ngã, do vậy bố mẹ hãy sơ cứu và cho trẻ ngồi nghỉ ngơi khoảng 20 phút. Sau đó mẹ có thể cho bé ngủ một chút để thư giãn và quên đi cơn đau khi bé bị ngã đứt dây chằng môi trên. Tuy nhiên, bố mẹ cũng cần theo dõi trẻ khi trẻ ngủ và trong vòng 24 – 48 tiếng xem có biểu hiện khác thường của chấn thương sọ não hay không.
-
Sử dụng thuốc giảm đau: Khi trường hợp cần thiết, trẻ bị đau vị trí bị rách dây chằng thì mẹ có thể sử dụng cho bé một chút thuốc giảm đau để giúp bé thư giãn. Chỉ sử dụng trong trường hợp cần thiết và cần có sử chỉ định sử dụng từ bác sĩ.
Xem thêm: Các xử lý 6 tổn thương thường gặp khi trẻ bị ngã đập mặt xuống đất
Để có thể giúp trẻ phục hồi nhanh hơn, bố mẹ cần thực hiện các biện pháp chăm sóc đúng cách và phù hợp. Tránh cho trẻ vận động quá mạnh sau khi bị ngã vì có thể khiến tình trạng của trẻ thêm trầm trọng hơn.

Cho trẻ ăn gì để nhanh lành, không bị xót môi
Trẻ bị đứt dây chằng môi cần được cung cấp chế độ ăn phù hợp. Dưới đây là những món thức ăn trẻ nên ăn và không nên ăn khi bị đứt dây chằng môi trên:
Thực phẩm nên ăn để nhanh lành
-
Thức ăn chế biến mềm, ít gia vị, dễ nuốt: Khi bị đứt dây chằng, trẻ sẽ có cảm giác rất đau miệng vì vậy ăn thức ăn mềm khiến trẻ dễ nuốt hơn, đảm bảo dinh dưỡng cho cơ thể. Các thức ăn mềm giúp trẻ dễ nuốt và khoẻ mạnh hơn.
-
Ăn sữa chua: Sữa chua chứa nhiều lợi khuẩn tốt cho hệ tiêu hoá, giúp kiềm hãm các vi khuẩn có hại trong miệng, giảm tình trạng sưng miệng khi bị đứt dây chằng. Sữa chua cũng giúp trẻ cảm thấy dễ chịu và đỡ đau buốt hơn.
-
Thực phẩm giàu chất sắt và khoáng chất: Các chất sắt, kèm,… là nguyên nhân khiến hệ miễn dịch suy giảm, giúp trẻ giảm nhiễm trùng miệng. Các sản phẩm sắt, kẽm bao gồm thịt gà, trứng, súp lơ,…

Thực phẩm không nên ăn khi bị đứt dây chằng môi trên
-
Thức ăn chứa nhiều axit: Thức ăn chứa nhiều axit gây cảm giác đau cho miệng và khiến bé khó chịu.
-
Thức ăn cay nóng: Thức ăn cay nóng gây kích ứng khiến trẻ có cảm giác khó chịu.
-
Các loại cà phê và nước ngọt: Tuy rằng nước ngọt mát giúp làm dịu vết thương của trẻ một khoảng thời gian ban đầu. Nhưng trong các loại nước ngọt, cà phê có chứa axit kích ứng mô tổn thương bên trong miệng.
Đề phòng trẻ bị ngã đứt dây chằng môi trên
Các biện pháp phòng tránh không thể giảm thiểu hoàn toàn mức độ tổn thương và các tai nạn té ngã ở trẻ nhưng những biện pháp này giảm thiểu tối đa các nguy cơ gây té ngã ở trẻ. Dưới đây là những biện pháp đề phòng trẻ bị ngã đứt dây chằng môi mà bố mẹ cần trang bị ban đầu:
-
Phụ huynh luôn luôn trông chừng trẻ cẩn thận và không cho trẻ chơi một mình, đặc biệt đối với những trẻ mới tập đi, tập bò.
-
Nếu phụ huynh hoặc người lớn không thể trông giữ trẻ thì bố mẹ có thể sử dụng cũi cho bé nằm. Mẹ cũng có thể xây dựng khu trò chơi an toàn cho bé để bé có thể vừa vui chơi tập đi, tập bò.
-
Sử dụng thanh chắn, hàng rào an toàn cho lối ra cầu thang, hành lang, ban công.
-
Trẻ nằm võng thì bố mẹ nên nằm cùng trẻ để tránh trẻ bị rơi xuống sàn khi trẻ thay đổi tư thế.
-
Nên sử dụng thảm mềm, nệm, gối để chắn bên cạnh giường để có thể giúp trẻ ngã xuống sẽ bị hạn chế mức độ chấn thương ở bé.
-
Sử dụng xe đẩy, ghế ăn cho bé cần có đai giữ an toàn để tránh trường hợp bé bị ngã.
-
Không nên để sàn nhà trong trạng thái trơn trượt, ẩm ướt.
-
Không nên để bé dưới 10 tuổi trông coi bé dưới 3 tuổi.
-
Đối với bé đã đi học thì bố mẹ cần giảng giải các nguyên nhân và những hậu quả mà bé phải gặp khi chơi đùa, hiếu động.
-
Không nên để các vật dụng sắc nhọn như dao, thuỷ tinh,… trên những nơi vừa tầm mới với bé. Cất những vật dụng này ở những nơi xa tầm tay trẻ em để hạn chế mức độ nguy hiểm của chấn thương khi bị ngã.

Trên đây là những thông tin về bé bị ngã đứt dây chằng môi trên mà Monkey đã chia sẻ đến phụ huynh. Hy vọng bài viết này sẽ giúp phụ huynh biết được bé bị ngã đứt dây chằng môi trên có nguy hiểm và ảnh hưởng đến sức khoẻ của trẻ hay không. Qua đó bố mẹ cũng trang bị cho mình những kiến thức xử lý và đề phòng trẻ bị ngã. Đừng quên đăng ký và theo dõi Monkey để có thể cập nhật các kiến thức mới giúp nuôi dạy và phát triển bé toàn diện và hoàn thiện hơn.
Nguồn: Tổng hợp Internet